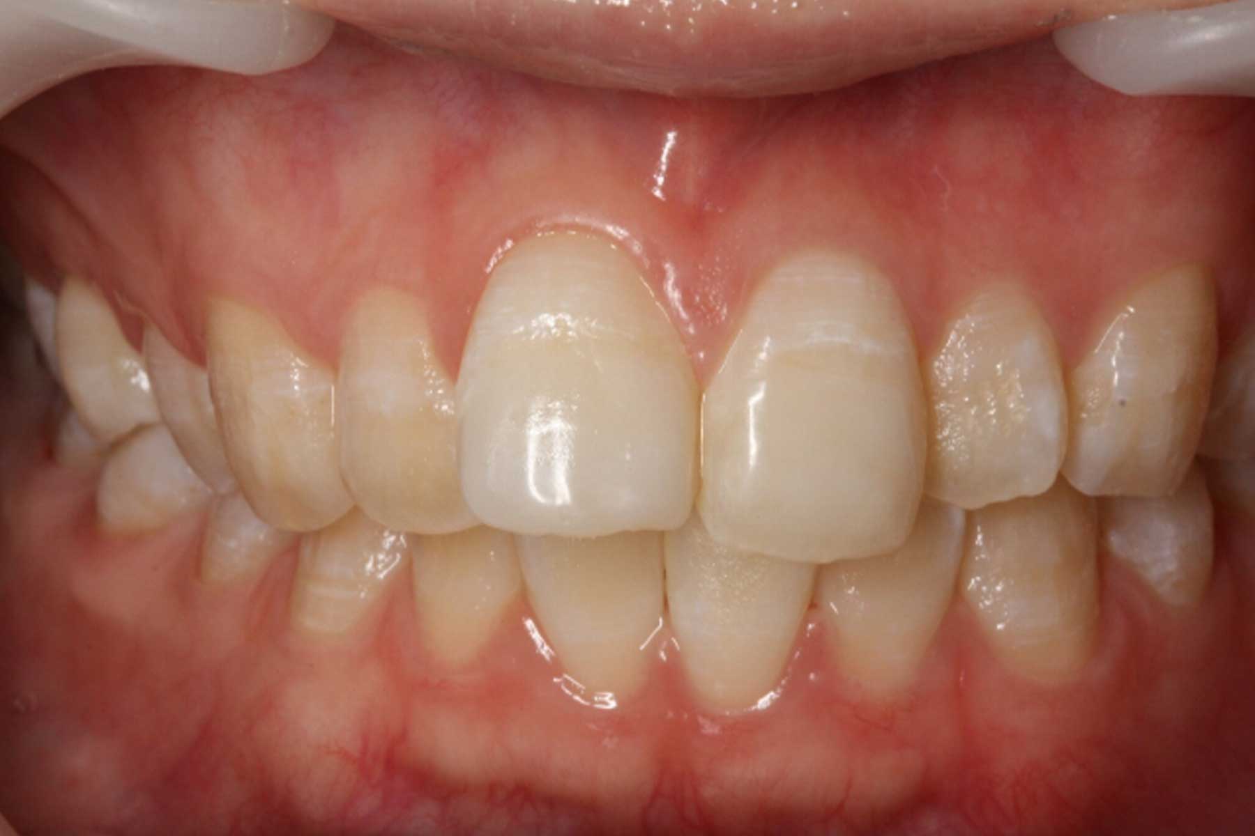
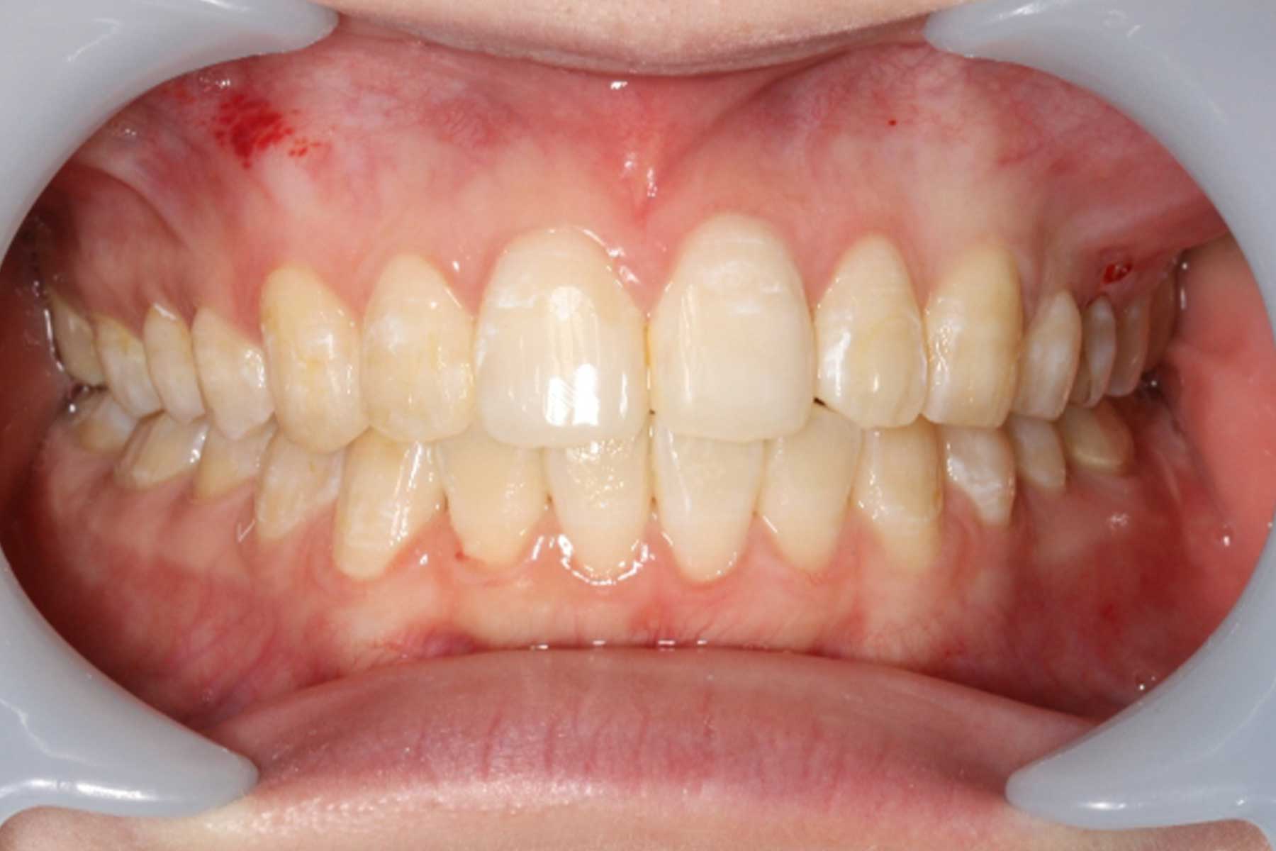
【20代女性】前歯のガタガタを整えたい
- 担当医
- 村上先生
- 主訴
- 前歯のガタガタを整えたい
- 期間
- 2年1ヶ月
- 費用
- 1,072,500円
- 治療内容
- 矯正治療(マウスピース矯正)
- 治療に伴うリスク
- 歯根吸収、三角空隙など
月・火・水・金・土:9:00~13:00、14:00~18:00(休診:木曜・日曜・祝日)


北砂デンタルクリニック
土曜は朝9時から夜18時まで診療している歯医者。お買い物ついで・お仕事帰りにぜひお立ち寄りください。
| 診療時間 | 月 | 火 | 水 | 木 | 金 | 土 | 日 |
|---|---|---|---|---|---|---|---|
| 9:00-13:00 | ● | ● | ● | ━ | ● | ● | ━ |
| 14:00-18:00 | ● | ● | ● | ━ | ● | ● | ━ |
●:9:00~13:00 14:00~18:00
休診日木曜・日曜・祝日※最終受付時間は診療終了時間の30分前
ご予約・ご相談はお気軽に!03-3649-4618