Home > 症例 > 矯正歯科 > マウスピース矯正 > 【20代女性】前歯のガタガタを整えたい

【20代女性】前歯のガタガタを整えたい

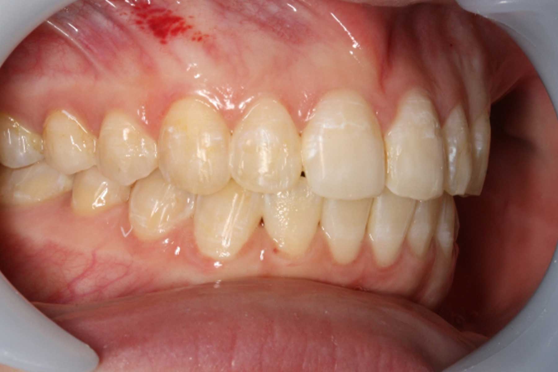
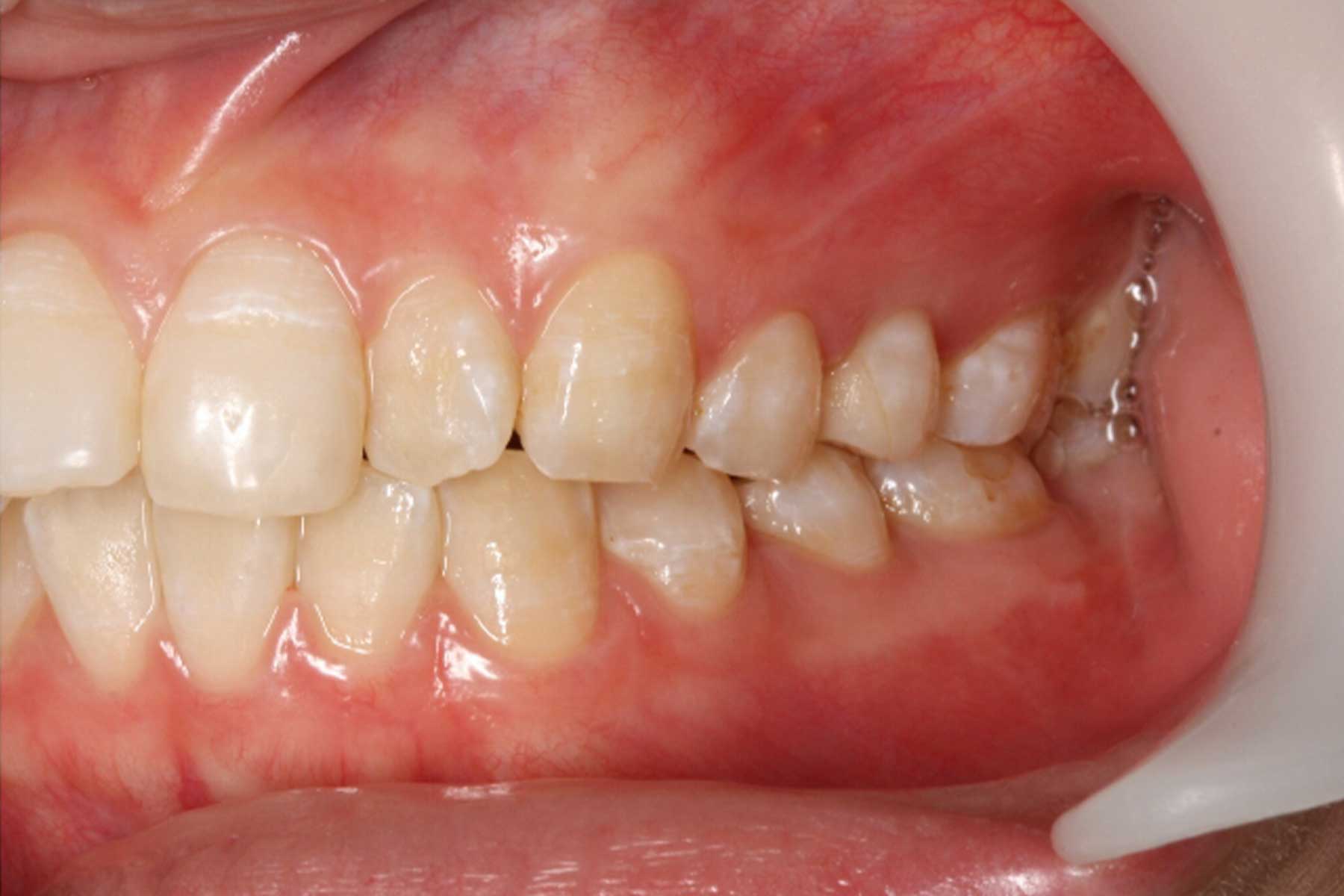
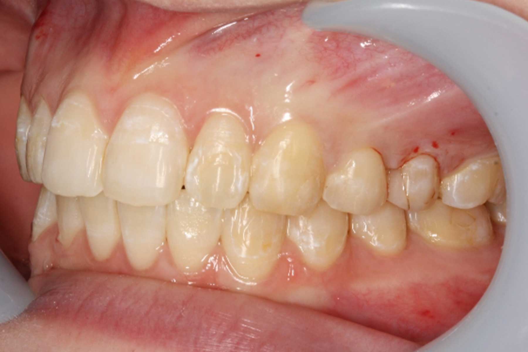
治療前

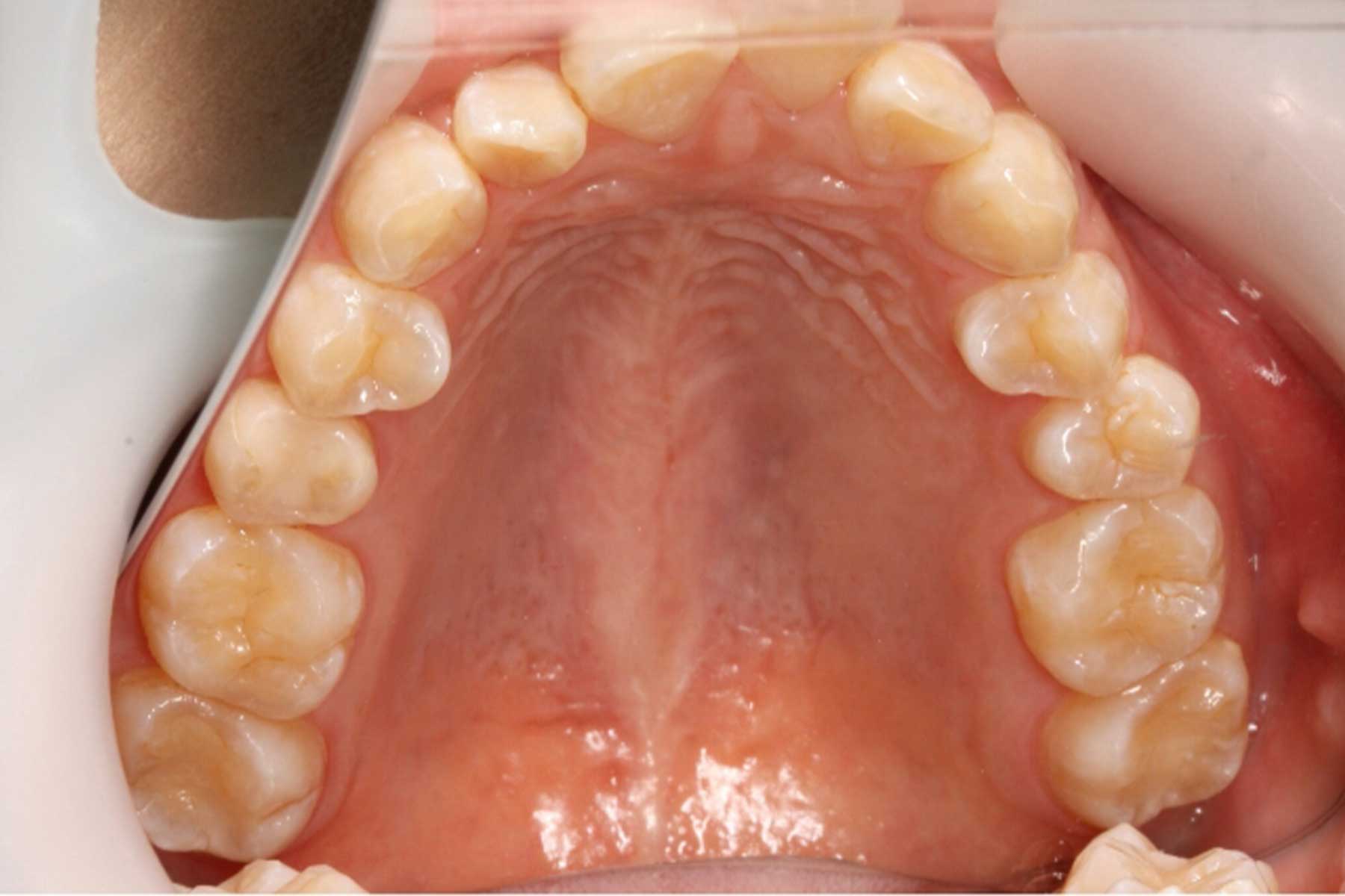
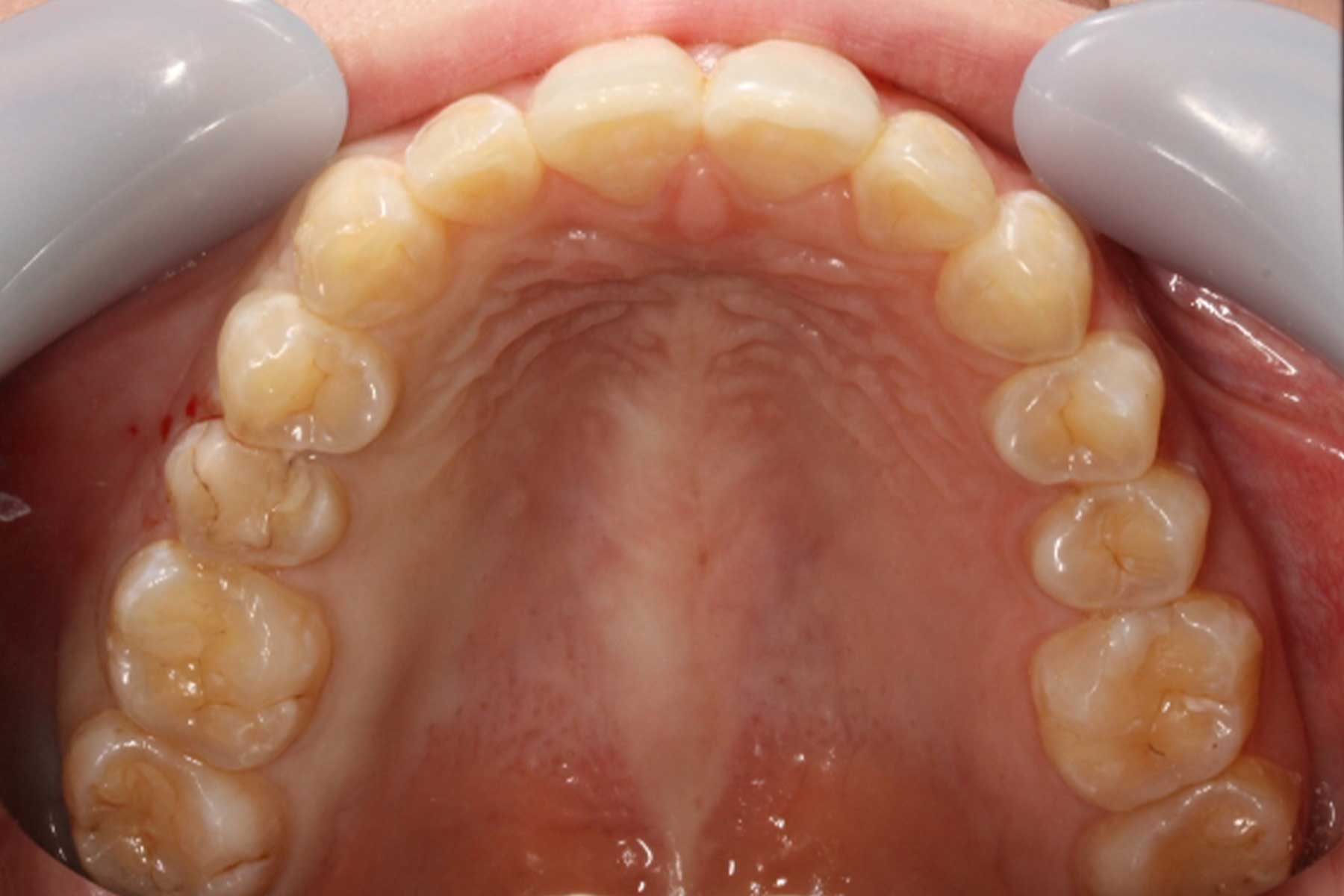
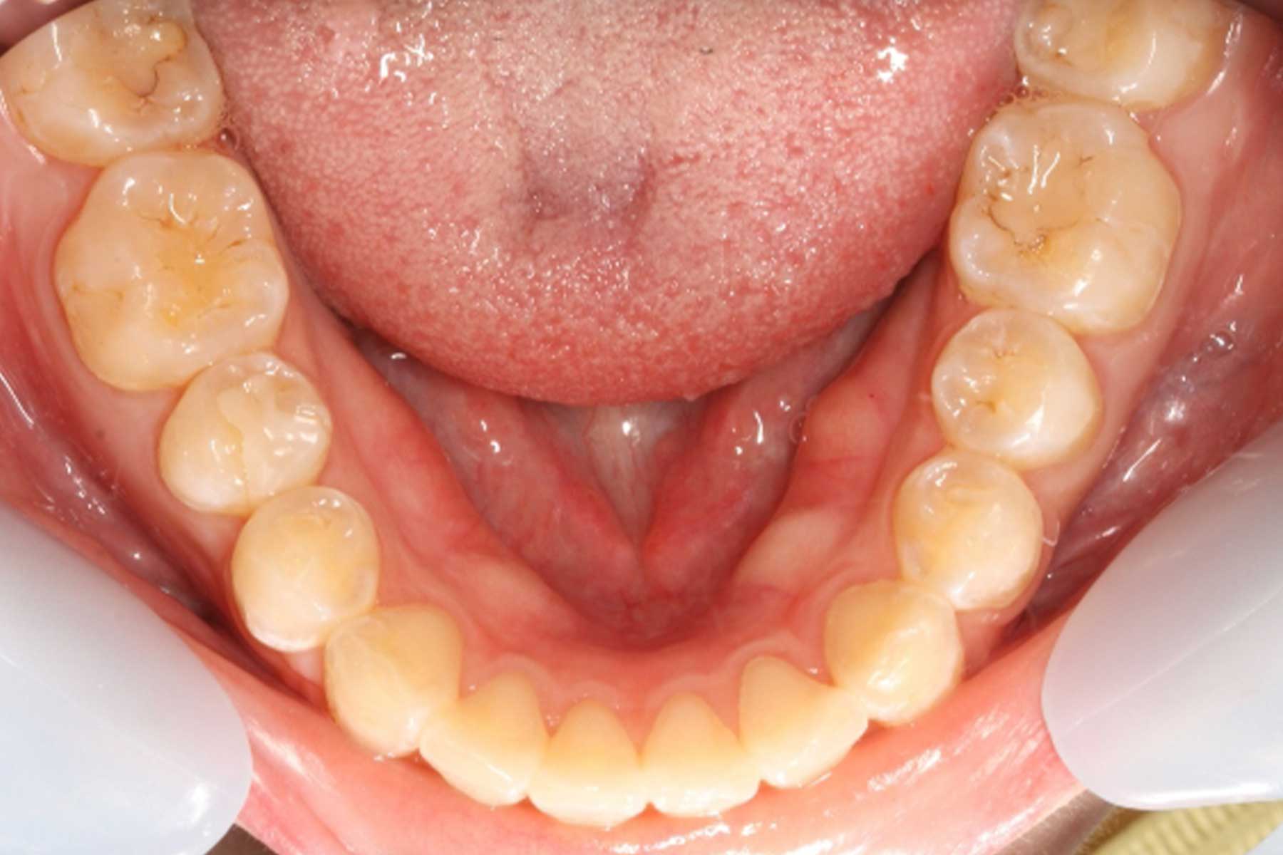
治療後

担当医 村上先生
主訴 前歯のガタガタを整えたい
期間 2年1ヶ月
費用 1,072,500円
治療内容 矯正治療(マウスピース矯正)
治療に伴うリスク 歯根吸収、三角空隙など

関連症例

関連記事はまだありません。

KDC KITASUNA DENTAI CLINIC

北砂デンタルクリニック

大島駅すぐ近く!
いつでも通えて便利!診療時間

土曜は朝9時から夜18時まで診療している歯医者。お買い物ついで・お仕事帰りにぜひお立ち寄りください。

診療時間
9:00-13:00
14:00-18:00

●:9:00~13:00 14:00~18:00
休診日木曜・日曜・祝日※最終受付時間は診療終了時間の30分前

ご予約・ご相談はお気軽に!03-3649-4618

大島駅から
徒歩9分の歯医者アクセス

都営新宿線「大島駅」から徒歩9分で、駅チカの通いやすい歯医者です。エレベーター完備で、ベビーカーや車椅子の方でも来院しやすいです。

大島駅から徒歩7分の北砂デンタルクリニック〒136-0073東京都江東区北砂6-19-28

大島駅から徒歩9分の北砂デンタルクリニック
〒136-0073東京都江東区北砂6-19-28

  • バスでお越しの方

    • 大島駅から【亀21系統】、東陽町駅行き(北砂六丁目下車 徒歩3分)
    • 錦糸町駅または西大島駅から【錦28系統】、東大島駅行き(北砂六丁目下車 徒歩1分)
  • お車でお越しの方

    • 医院の無料駐車場をご利用ください。
  • 電車でお越しの方

    • 都営新宿線 大島駅より 徒歩9分