【20代女性】前歯のガタガタを整えたい
- 担当医
- 村上先生
- 主訴
- 前歯のガタガタを整えたい
- 期間
- 2年1ヶ月
- 費用
- 1,072,500円
- 治療内容
- 矯正治療(マウスピース矯正)
- 治療に伴うリスク
- 歯根吸収、三角空隙など
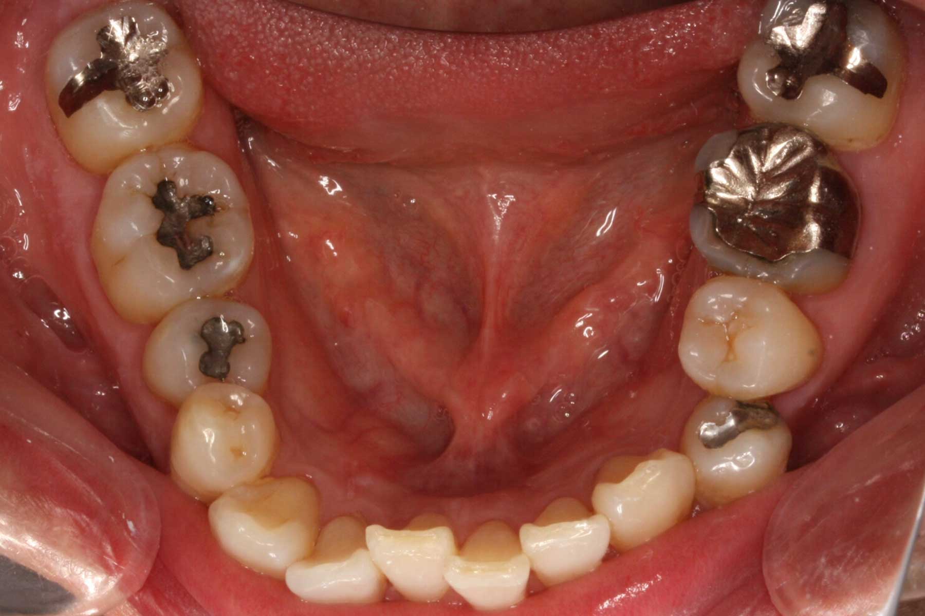
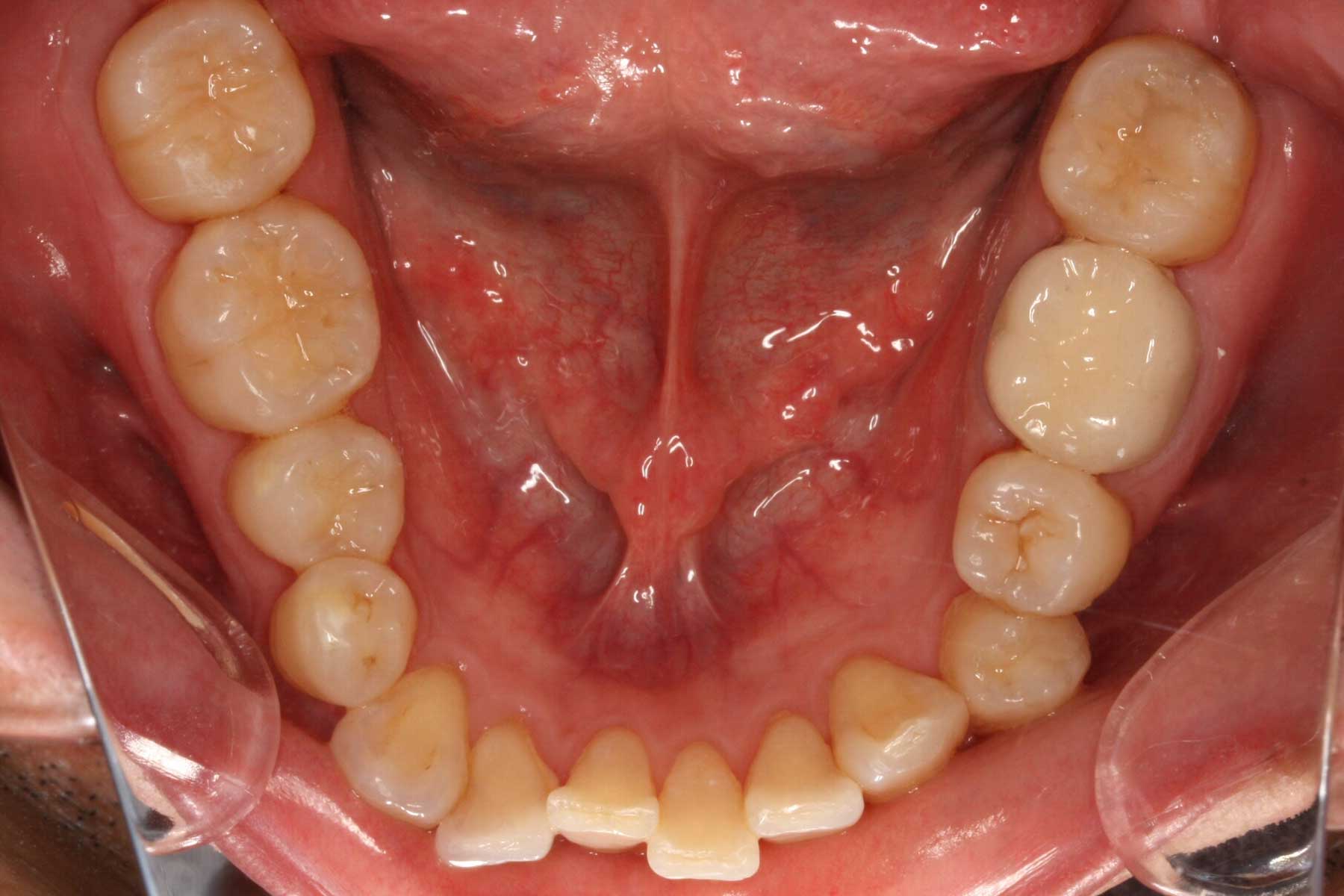
【30代男性】銀歯を白くしたい、虫歯を治したい
- 担当医
- 村上先生
- 主訴
- 銀歯を白くしたい、虫歯を治したい
- 期間
- 2ヶ月
- 費用
- 保険診療+132,000円
- 治療内容
- ダイレクトボンディング+セラミックスクラウン
- 治療に伴うリスク
- 長期仕様によるダイレクトボンディングの劣化
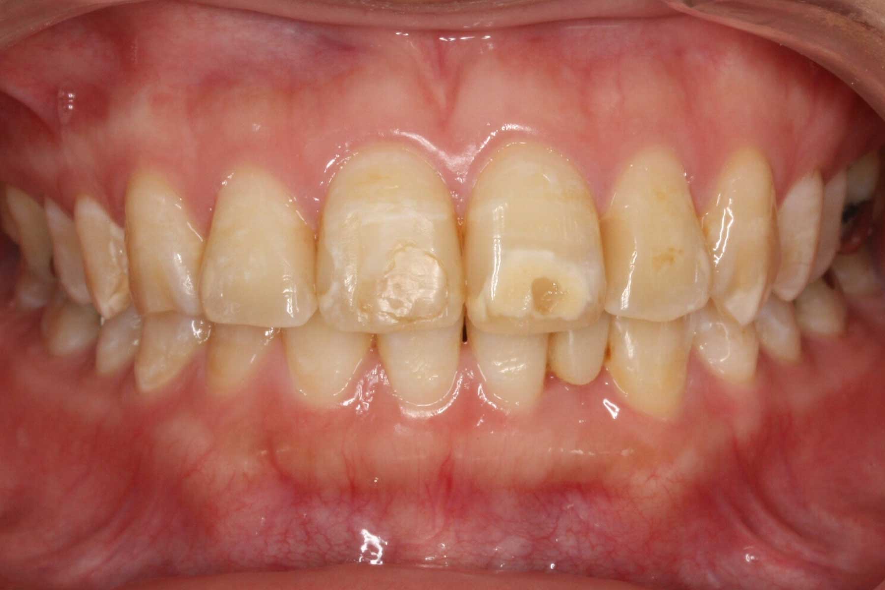
【20代女性】セラミック治療
- 担当医
- 村上先生
- 主訴
- 前歯をキレイにしたい
- 期間
- 2ヶ月
- 費用
- 877,800円
- 治療内容
- セラミックスクラウン
- 治療に伴うリスク
- 生活歯(神経のある歯)を削ったことによる歯髄炎





